Wedge Osteotomy for Haglund’s Syndrome and Associated Achilles Tendinosis
Orthopaedic surgeons at Penn Orthopaedics Foot and Ankle Program are performing minimally invasive surgeries to correct Haglund’s deformity and its adjunct, insertional Achilles tendinosis.
The human foot is designed to bear weight and the varying demands of ambulation (e.g., flexion, pronation, flexibility, strength, compression, stability, balance). The foot is comprised of 26 bones, the largest or which is the heel (calcaneus), which comprises the mass of the hindfoot. The heel functions as a lever for the calf muscles, and is the source of insertion at its posterior surface for the body’s largest tendon, the Achilles. It is, as well, the principal attachment point for the the long and short plantar ligaments (among others) and the Sural and medial calcaneal nerves.
As a focal point of contact during the working mechanics of ambulation, the heel is particularly prone to injury and the skeletal responses to traumatic fracture, overuse stress, and osteoarthritis, as well as the skeletal responses to these injuries, including inflammation at the bursa and tendons, and spurs and other types of bony growth. Prominent among the latter is Haglund’s deformity, which occurs as abnormal bone deposition above the Achilles insertion site. Haglund’s often impinges on the retrocalcineal bursa and Achilles, contributing to inflammation and stress manifesting as insertional Achilles tendinosis and retrocalcaneal bursitis. The combination of Haglund’s, Achilles tendinosis and bursitis at the heels is known as Haglund’s Syndrome. The symptoms of the Syndrome include chronic, often debilitating, pain, altered lower extremity function, and movement inhibition.
At Penn Orthopaedics, the comprehensive treatment plan for patients with Haglund’s deformity and Achilles tendinosis begins with conservative measures. These efforts include orthotics, activity modification, anti-inflammatory drugs (oral or topical), exercise, and physical therapy. Most patients will respond to these measures over time. Those who do not respond to conservative therapy may be considered candidates for surgery.
A variety of surgical options are available for Haglund’s Syndrome at Penn Orthopaedics. The choice of surgery is dependent upon Achilles tendon pathology, calcaneal morphology and bursal involvement. If damage to the Achilles and bursa is minimal, a wedge osteotomy to remove the overgrowth and reposition the heel may be sufficient. If the tendon and bursa are injured or damaged, surgery may include bursectomy and or tendon reparative procedures. Anthony (Bobby) Ndu, MD, MBA and his colleagues at Penn Orthopaedics perform both open and minimally invasive surgeries.
Case Study
Mrs. M, a 57-year-old woman, was referred by her primary care provider to Dr. Ndu at Penn Orthopaedic Surgery. A member of the Penn Orthopaedics Foot and Ankle Program, Dr Ndu is a practicing surgeon and the Orthopaedic Foot and Ankle Fellowship Director at Penn Medicine.
At her presentation, Mrs. M reported a two-month history of worsening pain on the plantar aspect of her right foot, a circumstance aggravated by an occupational requirement to be on her feet for many hours a day. Her medical history was complicated, but outside of obesity (BMI 45.49 kg/m2) none of her present issues had a bearing on foot and ankle pain. She had never smoked, didn’t have diabetes, and had no history of thrombosis.
Previous to her visit to Penn, Mrs. M had visited a physical therapist, who recommended an intermittent night splint and home exercises to address her foot pain; these offered limited relief of symptoms. Suspecting the involvement of the achilles tendon, Dr Ndu then ordered an MRI. This confirmed a diagnosis of insertional Achilles tendinosis with some delamination of the tendon at its attachment site. Also noted was a bony (Haglund’s) deformity at the calcaneus (arrow, Figure 1).
Following disappointing results with further efforts at conservative therapy, including a ankle-foot orthosis (MAFO) brace, heel lifts and continued physical therapy, Mrs. M agreed to have a minimally invasive calcaneal osteomy to address the deformity at her heel and reduce the tension on her Achilles tendon.
The Procedure — Mrs. M had a dorsal closing wedge (Zadek) calcaneal osteotomy two weeks later, a procedure involving the careful resection of a wedge of bone at her right heel that, when removed, would allow its mobilization to elevate the insertion of the Achilles tendon reducing tension at its insertion point. The surgery has the added benefit of avoiding the Achilles and other sensitive tissues and addressing the outstanding deformity at the heel.
After normal preparative steps for surgery, Mrs. M’s Zadek osteotomy was initiated by the careful placement under biplanar fluoroscopic guidance of a pair of guide wires, or pins, from points above and below the heel which, intersecting at a preplanned 35 degree angle, created a triangular outline for the planned wedge resection. Once this was achieved, a 3cm lateral incision was made with a small blade at the inferior apex of the triangle, taking care to avoid the peroneal tendons and other vital structures. A 30mm x 3mm high-speed, low-torque burr was then employed to enter the calcaneus, and following the contour of the wedge, the bone between the pins was reamed and suctioned away. Care was taken throughout to avoid the peroneal tendons and other vital structures. A bridge of bone was retained where the pins intersected to act as a hinge for the eventual mobilization of the wedge.
Following copious irrigation and suction to remove any remaining bony debris from the lateral incision, an adequate resection was verified on fluoroscopic imaging. Mrs M’s hindfoot was then brought into dorsiflexion to close down the dorsal portion of the osteotomy, and after further configuration to ensure complete closure, the two cuts were apposed, closing the gap.
At this point, wires were placed as guides for the screws that followed. The dorsal screw gave a significant adequate bony apposition of the osteotomy site, changing the angle of the Achilles insertion and dorsally rotating the posterior tuberosity. Screw placement was then verified on AP, lateral and Harris heel views, and the screws fixed in place. Following further irrigation and suctioning at the three incisions, the wounds were closed.
Mrs. M was wakened and taken to the recovery room, where she received a post-operative dressing. She went home later that day, and was advised to remain off her foot for at least four weeks. At two weeks, she received a partial cast and at four weeks transitioned to a Controlled Ankle Motion (CAM) boot. At her follow-up visits, which came at two week intervals for the first month and monthly thereafter, Mrs. M showed steady improvement.
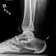
An x-ray of her right foot and ankle at six weeks demonstrated screw fixation and healed osteotomy of the calcaneus (Figure 2). At two months, Mrs. M began physical therapy, and with continued improvement returned to full-time work at five months.
About the Penn Orthopaedics Foot & Ankle Program
Penn Orthopaedics has the only foot and ankle program in the region that offers the latest minimally invasive foot and ankle surgery available. In addition to non-surgical treatments, the Foot and Ankle Program provides comprehensive surgical treatment for the full spectrum of foot and ankle conditions, including total ankle replacement or vascularized bone grafting, and complex revision surgeries. Advanced technologies to restore maximum function, minimize pain and ensure the quickest possible recovery are a standard of care at Penn Orthopaedics.
Locations
Penn Orthopaedics Cherry Hill
Penn Medicine Cherry Hill
1865 Route 70 East
Cherry Hill, NJ 08003
Pennsylvania Orthopaedic Foot and Ankle Surgeons
Pennsylvania Hospital
Farm Journal Building, 5th Floor
230 West Washington Square
Philadelphia, PA 19106
Penn Orthopaedics Radnor
Penn Medicine Radnor
Floor 3, Suite 305 South
145 King of Prussia Road
Radnor, PA 19087
Penn Musculoskeletal Center - University City, 8th Floor
Penn Medicine University City
7th Floor
3737 Market Street
Philadelphia, PA 19104
Penn Orthopaedics Valley Forge
Penn Medicine Valley Forge
1001 Chesterbrook Boulevard
Berwyn, PA 19312
Penn Medicine Exton
479 Thomas Jones Way, Suite 300
Exton, PA 19341
Additional Resources
MIS Procedures video from Dr. Bobby Ndu
Penn Faculty Team
Director of Clinical Research, Foot & Ankle Division
Assistant Professor of Orthopaedic Surgery at the Hospital of the University of Pennsylvania
Orthopaedic Residency Program Director
Vice Chair for Education
Associate Professor of Clinical Orthopaedic Surgery
Chief, Foot and Ankle Division
Director, Program in Surgical Ethics
Associate Professor of Orthopaedic Surgery at the Pennsylvania Hospital
Associate Professor of Medical Ethics and Health Policy
Orthopaedic Foot and Ankle Fellowship Director
Assistant Professor of Clinical Orthopaedic Surgery
